OBSTETRICAS

Slide Obstetricas
atención de calidad
ecografías
atención de calidad
& diagnóstico oportuno
obstétricas
& diagnóstico oportuno

¿Por qué son importantes las ecografías de embarazo?

Las ecografías de embarazo son fundamentales para monitorear el desarrollo y bienestar del bebé en cada etapa. Permiten confirmar el embarazo, calcular con precisión la edad gestacional y evaluar el crecimiento fetal. Además, ayudan a detectar posibles anomalías o complicaciones, verifican la posición del bebé y el estado de la placenta, garantizando la salud tanto del bebé como de la madre durante todo el proceso gestacional.

¿Qué ecografías realizamos?

Esta ecografía permite identificar el sexo del bebé con precisión a partir de la semana 12 de gestación. Además, ofrece información sobre el bienestar fetal, la ubicación de la placenta y la cantidad de líquido amniótico, asegurando el monitoreo adecuado del embarazo.

Esta ecografía permite identificar el sexo del bebé con precisión a partir de la semana 16 de gestación. Además, ofrece información sobre el bienestar fetal, la ubicación de la placenta y la cantidad de líquido amniótico, asegurando el monitoreo adecuado del embarazo.

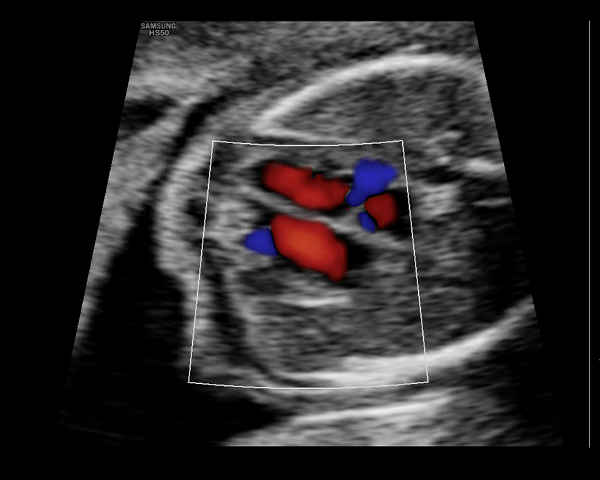
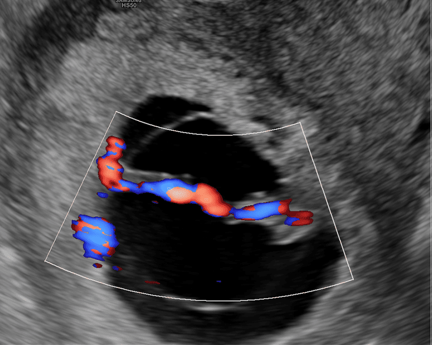
Esta ecografía sirve para evaluar la hemodinamia materno-fetal y detectar problemas de crecimiento como el RCIU (Restricción del Crecimiento Intrauterino) y el riesgo de preeclampsia (presión arterial alta durante el embarazo). Además, nos permite evaluar el cordón umbilical y detectar circulares de cordón simple, doble o triple.

Con nuestra tecnología 5D y 6D de alta resolución, podrás ver la carita, las manos, los pies, la columna y el sexo de tu bebé con imágenes de alta calidad. Además, podrás apreciar los gestos de tu bebé en tiempo real. Esta ecografía también nos ayuda a detectar las malformaciones congénitas que pudiera tener el feto.

Con nuestra tecnología 5D y 6D de alta resolución, podrás ver la carita, las manos, los pies, la columna y el sexo de tu bebé con imágenes de alta calidad. Además, podrás apreciar los gestos de tu bebé en tiempo real. Esta ecografía también nos ayuda a detectar las malformaciones congénitas que pudiera tener el feto.

Quiero conocer las promociones del mes

Somos una institución privada de salud que brinda servicios profesionales de alta calidad con trato humanizado y personalizado.

Ecografías Obstetricas
Ecografías Ginecologicas
Ecografias Partes Pequeñas
Ecografías Urologicas
Sobre Nosotros

Jr Marcará 5209 Urb. Villa del Norte, Lima, Los Olivos. (Frente a la DEPINCRI)

922 409 982 / (01) 624-4305

citas@sonoimagen.com

Icono de WhatsAppContactar por WhatsApp
Scroll to Top